


かりや駅やまかわ内科は、ご来院いただく全ての方にとって、通いやすく安心できる医院であるために、全面バリアフリー設計をはじめとし、随所に配慮を施した医院づくりを心がけました。
患者さんに「来て良かった」と思って頂けるような診療、院内環境であるよう努めています。


明るく広々としたゆとりある待合室です。緊張してしまいがちな待ち時間ですが、不安・緊張が軽減されるよう、清潔に保たれた落ち着きある空間で、リラックスしてお待ちいただけます。

プライバシーへの配慮に努めておりますので、周りの目を気にすることなく、カウンセリング・診療を受けていただけます。

点滴処置のみならず、麻酔を用いた検査後などにお休みいただく回復室としてもお使いいただけます。


大学病院と同レベルの医療をご提供できるよう、NBI内視鏡(拡大観察付き)を導入しています。また、一般的には口から入れることが多い内視鏡ですが、当院ではより患者さんの負担を軽減できる「経鼻内視鏡」と呼ばれる鼻から入れる内視鏡も完備しています。



院内は全面バリアフリー設計となっており、車イスやベビーカーをご利用の方も安心して通院していただけます。また、気兼ねなくご利用いただけるよう、男女別トイレも完備しています。


当院では、より的確で安全な医療をご提供できるよう、スタッフの技術はもとより、最新の医療機器を取り揃えています。
また、消化器・肝臓の専門医による診療で、安心で快適な検査・治療を受けていただけます。

医師をはじめ、スタッフとともに患者さんの情報を共有することで、個々の患者さんの現在の状態を正確に把握し、最適な治療計画を提案できます。また、待ち時間短縮にもつながり、より快適に診療を受けていただけます。

腹部にゼリーを塗り超音波を当て、臓器を観察します。肝臓・胆嚢・膵臓・脾臓・腎臓などの検査に活用され、痛みも全くなくスピーディーかつ高画質に臓器を映し出し、異常がないかを調べます。

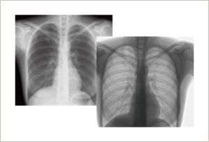
X線画像をフィルムを使用することなく、直接診療室のモニターに映し出すことができ、画像も鮮明で、より正確に診断することができます。データとして蓄積できるため、長期的な経過観察にも役立ちます。

糖尿病の数値測定などの血液検査を、短時間かつ高精度に行ないます。内蔵システムで温度管理を行なう事で、時間を短縮しても確実な検査が可能です。

赤血球、白血球、血小板の数値測定を行ないます。数値の結果だけでなく、基準値との比較グラフやチャート図など、測定数値以外の情報も豊富に確認する事ができます。

高感度の検出システムにより、インフルエンザを最短3.5分で診断できる装置です。システム管理により、感染症の検査を迅速確実に行ないます。

吐いた息に含まれる二酸化炭素の変化量を、高い精度で、かつ約2分の短い時間で、身体に負担を与えずに測定できる装置です。ヘリコバクター・ピロリ菌の感染診断および除菌治療に役立ちます。

NBI搭載の経鼻内視鏡です。上部消化管の検査に使用します。

NBI搭載の大腸内視鏡です。下部消化管の検査に使用します。

電解酸性水を用いて、粘液や血液に汚染されている検査後の内視鏡に付着したウイルスや菌を、確実に洗浄・殺菌・消毒する装置です。ガイドラインに則り、内視鏡検査による感染事故の防止に努めています。